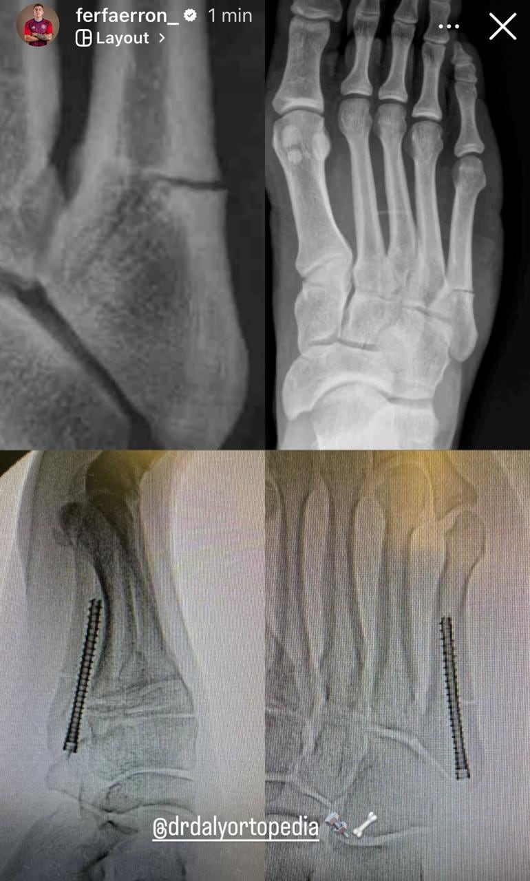
El defensor Fernán Faerron encendió las alarmas tras publicar una imagen desde una cama de hospital, y ahora ya se sabe el motivo: fue sometido a una cirugía en el pie izquierdo este sábado y su recuperación dependerá de cómo evolucione en las próximas semanas.
“Les informamos que el jugador Fernán Faerron fue operado con éxito tras una fractura del quinto metatarsiano en su pie izquierdo. El periodo de recuperación será evaluado acorde a su evolución en las próximas semanas”, comunicó el club.
LEA MÁS: Fernán Faerron volvió a provocar a Alajuelense tras la Recopa
El defensor publicó una fotografía en Instagram, donde se le ve recostado en una camilla, acompañado por un especialista en ortopedia.
LEA MÁS: Festejo de Alajuelense por la Recopa terminó en burlas por un particular detalle
“Gracias a Dios, por ponerme personas como Orlando Daly en el camino. La operación fue un éxito”, escribió Faerron junto a la imagen.
El futbolista también mostró una fotografía de la intervención, donde se observa que el pin metálico que le colocaron en el pie.


