Al Dj Ale Mora era común verlo abriendo grandes conciertos tanto a nivel nacional, como internacional.
Él es uno de los Dj de la escena del EDM, acrónimo en inglés para la música electrónica bailable más popular de Costa Rica, pero ahora donde pasa metido es en los hospitales.
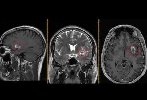
En julio de este año Ale contó, a través de Instagram, que recibió una de las noticias más duras pues los doctores le descubrieron un tumor en el cerebro.
“Me descubrieron un tumor con sangrado en el cerebro que me afecta mi vida de varias maneras, incluyendo mi memoria a corto plazo, que me estaba fallando desde hace varios meses. En dos meses me operan y la recuperación tardará varios meses más. La otra semana viajo a Estados Unidos para unos chequeos y posteriormente la operación.
“Por ahora me despedido de las redes sociales para poder cuidar mi salud mental y física. Quiero que sepan que si en algún momento les fallé, me disculpo, los quiero mucho a todos y espero poder volverlos a ver pronto”, publicó hace cinco semanas.
Hace tres días Ale volvió a hacer otra publicación donde sale con su cabeza conectada a unos aparatos y anunció que cada vez está más cerca de la operación.
El viernes también contó en Instagram que ya inició con el proceso de resonancia y agradeció a todos por el apoyo que le han dado a través de mensajes y llamadas.
LEA MÁS: Montserrat del Castillo aprendió después de la última metida de patas...
Ale se encuentra en Estados Unidos, donde nació, pero desde muy niño se vino a vivir con su familia tica, por eso se considera un costarricense más.
Le deseamos pronta recuperación al músico.


