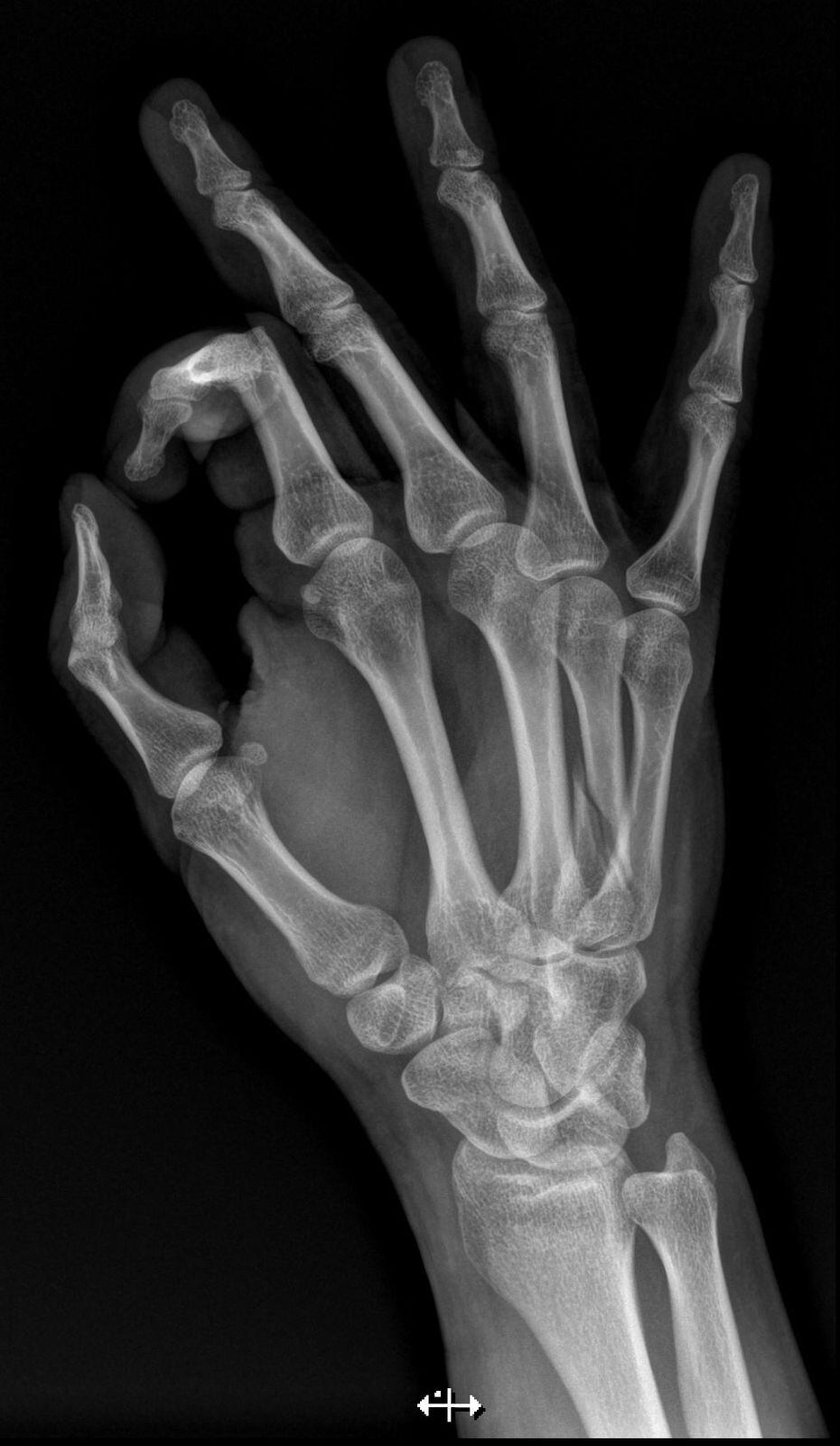
Marvin Ballestero, reconocido locutor del programa Pelando el Ojo, se refirió a lo complicado que ha sido recuperarse de una fractura que tuvo en su mano izquierda.
LEA MÁS: Katherinne González pasa por momento devastador y Pelando el Ojo no la deja sola
“Tuve un accidente en la casa el pasado 7 de mayo en la noche, hice un movimiento de fuerza y por la movilidad de la mano se me hizo una lesión, una mala fuerza que hice”, le comentó a La Teja en una entrevista.
Ballestero contó que cuando fue a revisarse le pusieron una férula.
LEA MÁS: Fiesta llevó a editor de Noticias Repretel a ser imitador de Pelando el ojo
“El ortopedista dice que hay dos opciones: la primera que solde el hueso, y la segunda que tenga que ir a una operación para que el hueso metacarpiano se pegue con unos pines y ver cómo queda con el tema de la movilidad”, dijo.
El talentoso muchacho contó que volvió a la radio este miércoles tras estar incapacitado tres días y tomar unas vacaciones.
LEA MÁS: No va a creer las confesiones que hicieron los humoristas de Pelando el Ojo en un video
Marvin, quien tiene casi 8 años en Central de Radios, confesó que hasta ahora le pasa algo así en una de sus manos, la última vez que la vio fea fue en el 2022, cuando le tuvieron que hacer una cirugía de apéndice.
“Es incómodo andar así. Yo me quebré y de inmediato me corté el cabello, porque ya lo tenía pensado, pero sumado a eso veía que era difícil lavarlo y hacerle cola, entonces pensé que era el momento”, dijo.
El comunicador agregó que desea donar su mechón de pelo, pero todavía no sabe dónde.
“Se me han elevado los gastos porque yo andaba en moto, y no queda de otra que buscar plataformas de transporte y sacar el tiempo, pero ahí me voy acomodando, ya pronto volveré a la normalidad. Hay bastante responsabilidad laboral y para mí es un privilegio hacer lo que hago”, confesó.
El locutor fue claro y detalló que lo que más le ha costado ha sido cocinar y bañarse, ya que es muy incómodo.
“Uno logra ver la maravillosa bondad de Dios cuando sabe que uno necesita las dos extremidades y lo pone a pensar muy de lleno con las personas realmente tienen una discapacidad especial, porque no tener un pie o una mano es muy, muy fuerte, y eso son grandes detalles de que Dios le enseña a valorar todo lo que tenemos desde la salud hasta el trabajo”, concluyó.



