Los médicos de un hospital en Australia revisaron a una mujer por un dolor de cabeza, pero quedaron asombrados por lo que tenía.
Un grupo de neurocirujanos extrajo del cerebro de una mujer una lombriz intestinal de ocho centímetros.
Según el medio La Vanguardia, es la primera vez que se ha identificado este parásito en humanos, se trata de una especie endémica (que es de dicha región) de Australia, la cuál es común en las serpientes pitones diamantinas.
Según este mismo medio, la mujer había sido internada a principios de 2021 después de que estuviera tres semanas con dolor abdominal, diarrea, fiebre y tos, además la paciente tenía sudoraciones y dificultades para respirar; sin embargo, le hicieron unas pruebas respiratorias en las cuales no fue posible encontrar larvas microscópicas.
Según Karina Kennedy, especialista del hospital, el identificar las larvas microscópicas en aquel momento, cuando nunca antes habían sido identificadas como causantes de infección humana, era como intentar encontrar una aguja en un pajar.
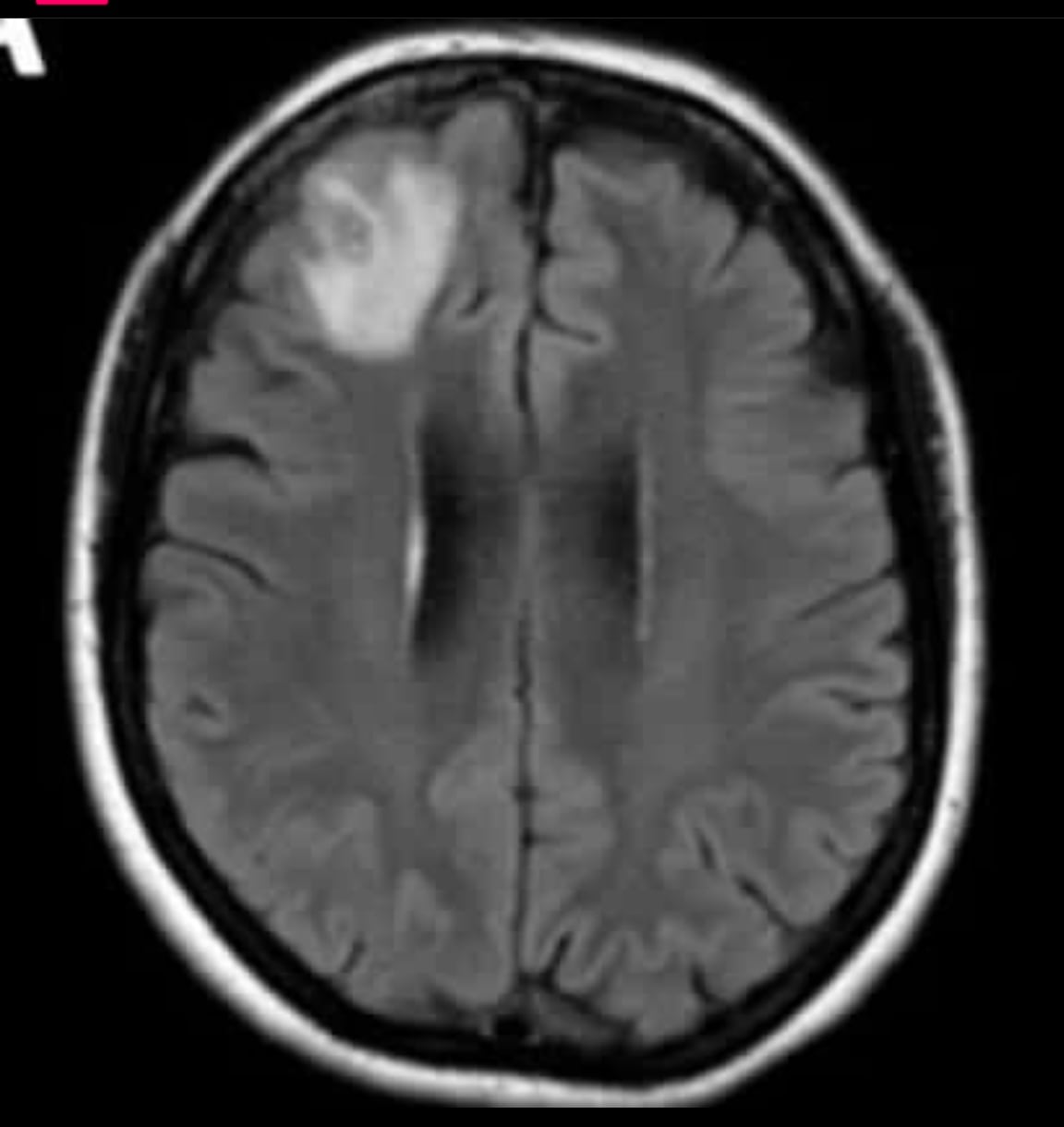
La mujer se sometió a una resonancia magnética el año pasado ya que empezó a experimentar trastornos en la memoria y depresión, dichas imágenes revelaron que la mujer tenía una lesión atípica en el lóbulo frontal derecho.
Al final lograron extraer la lombriz y sobrevivió.


