El tico David Gutiérrez Albenda tiene 34 años, es de San Rafael Debajo de Desamparados y doctor especialista en una de las áreas de mayor dificultad en el campo de la salud: la medicina nuclear.
Estudió en la distinguida Universidad de São Paulo, Brasil, después de graduarse con honores como médico general en la Universidad de Costa Rica en el 2016.
Debido a su destacado desempeño académico, y a la necesidad del país de tener más médicos nucleares, David ganó una beca completa que le dio la UCR para viajar al país sudamericano.
“Lo verdaderamente motivante es saber que ser costarricense y haber estudiado en instituciones públicas no es limitante para ir a los mejores centros formadores del mundo”, dice.
Mucho empeño
¿El motor de David? La constancia y la perseverancia. Él es 100 % resultado de la educación pública costarricense. Su enseñanza primaria la realizó en la Escuela Elías Jiménez Castro, en San Rafael Abajo en Desamparados. Después hizo la secundaria en el Colegio Técnico Profesional Dos Cercas, también de Desamparados, y luego fue a la UCR.
“Todo lo que ha sido mi formación, desde que estoy en el kínder, hasta la universidad y los posgrados, ha sido gracias a la educación y a las instituciones públicas”, cuenta.
A este joven tan destacado, galardonado por el Consejo Universitario de la UCR como mejor promedio en la maestría de Ciencias Médicas y Quirúrgicas y mejor promedio académico del área de la salud en el 2018, no se le podía dejar ir fácilmente.
LEA MÁS: ¿Qué busca Rusia en Nicaragua?, una experta nos lo explica
Está casado con Lissette Monge Abarca y desde el 1 de febrero del año pasado disfruta ser el papá de Théo André. Desde inicios de marzo de este 2022 ya la familia completa está de vuelta en Tiquicia después de cuatro años en Brasil.
El doctor Gutiérrez sacó un rato de su tiempo para explicar qué es la medicina nuclear, cuáles son sus aportes y hablar de sus experiencias en Brasil, su aprendizaje y aspiraciones.
Usted es de Desamparados y resultado de la educación pública costarricense, ¿por qué decidió estudiar medicina?
Creo que la respuesta solo se obtiene al conocer el dolor, la gratitud y la realidad de los pacientes.
Medicina es una carrera de bastante sacrificio en la cual muchas veces uno se replantea la elección, pero finalmente se encuentra sentido en el rostro de los pacientes que se benefician de los servicios y la atención que uno pueda brindar.
Para la especialización, usted fue becado por la UCR, fue seleccionado entre varios candidatos, ¿por qué decidió escoger Brasil?
Por el tiempo de formación, la cercanía, el costo y el lenguaje. Los siete candidatos a la beca estuvimos buscando bastantes lugares. Hablamos con gente de Canadá, Chile, Argentina, España e Inglaterra. Sin embargo, tanto por costo económico como por tiempo tuvimos que descartar algunos.
Llega a Brasil con 29 años y prácticamente recién graduado como médico general. ¿Cuáles fueron los principales retos?
Muchos. El primero era el compromiso tan relevante como lo es la beca de la Universidad de Costa Rica y representar a Costa Rica como médico en un país tan grande como Brasil.
Creo que eso es algo muy común que se les presenta a todos los médicos de Costa Rica que salen. Muchas veces, solo conocen a Costa Rica porque jugó un partido en el Mundial o lo confunden con Puerto Rico.
Por lo tanto, es un reto grande representar a tu país, representar tu formación y a tu universidad. La carga es bastante grande y vos decís: ‘tengo que rendir’.
Es algo que le pone a uno presión y que lo motiva, sobre todo, cuando el país que te recibe te empieza a reconocer. Al final ese esfuerzo lo hace uno por los pacientes, los colegas que vienen detrás y el nombre de Costa Rica.
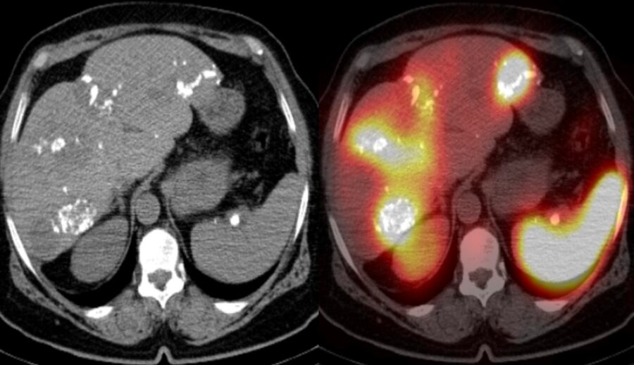
¿Un ejemplo de lo que hace el médico nuclear?
El médico nuclear realiza tomografías especiales, como una foto en 3D, que utiliza radiofármacos.
Entonces, la tarea de un médico nuclear es tomar al paciente e inyectarle el radiofármaco. Esa sustancia va por su sangre, irá a juntarse a algún tejido de interés y lo va a poner a “brillar”. Dependiendo del tipo de radiofármaco que yo utilice, puedo diferenciar varias cosas en el cuerpo.
Posteriormente, esa radiación que emite la sustancia es leída por el equipo y transformada en imágenes. Entonces, esto es muy útil en cáncer. Cada vez se siguen creando más y más tipos de radiofármacos para diferentes estudios. Casi que todos los días se crea algo nuevo.
El más clásico, y lo que más representa el grueso de los estudios, es el cáncer. Su relevancia está en ofrecer un mejor diagnóstico, estadio y tratamiento.


