Durante toda su vida el tráfico Javier Portuguez Recio ha sido un fiebre de las motos; sin embargo, desde hace 3 años no se sube a una, todo por culpa de un accidente de tránsito que le cambió la vida.
Pese a la lesión que tiene en su pierna derecha, Portuguez, de 58 años, aún mantiene la esperanza de montarse de nuevo a una moto.
“Yo tengo un sueño, y es que después de esta operación que me hace falta pueda superar todo esto para pedir de nuevo una moto”, dijo.
La vida de don Javier, quien trabaja en la delegación de Pococí, cambió para siempre el 8 de diciembre del 2016, cuando sufrió un accidente que muchos calificarían sin gracia, pero que resultó ser más grave de lo que se esperaba.
“Iba con mi moto por el costado oeste del Poder Judicial de Guápiles cuando un licenciado sacó su carro en reversa y me chocó. La fuerza del carro y el golpe me empujaron la pierna derecha hacia atrás y se me descabezó el fémur”, contó.
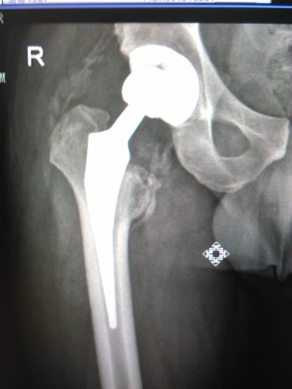
Según el tráfico, la parte redonda del fémur que se conecta con la cadera se dañó por completo al salirse de su lugar, motivo por el cual tuvo que ser llevado de emergencia al hospital de Guápiles.
Le lesión fue tan grave que el tráfico tuvo que ser llevado al Hospital del Trauma, en La Uruca, donde le realizaron una delicada operación en la cadera para ponerle una placa de metal y reconstruir el hueso de su pierna.
La recuperación fue durísima porque tuvo que pasar la Navidad y el fin de año metido en el hospital, pues le dieron la salida hasta el 3 de enero. El oficial estuvo incapacitado hasta el 28 de febrero del 2017.
No olvida la moto
Luego de un mes de vacaciones don Javier regresó al trabajo en abril del 2017; sin embargo, todo había cambiado porque con costos podía caminar solo y mucho menos subirse a una moto.
Portuguez empezó a trabajar con un bordón, pero su condición volvió a empeorar, motivo por el cual tuvo que usar muletas durante 6 meses, hasta que de nuevo fue atendido en el INS.
Aunque don Javier puede manejar patrullas para él lo más difícil fue recibir la noticia de que no podría subirse a una moto.
“Viera que difícil, yo veía una moto ahí parada y tal vez había que escoltar a un niño al hospital y solo podía decir ‘Dios mío, ¿cómo no voy a poder subirme a esa moto?’, es algo muy duro”.
El tráfico dijo que el miércoles 27 de noviembre lo volverán a internar para una nueva operación, por lo que tiene toda la esperanza de que esta lo ayudará a mejorar para así subirse una vez más a una moto.
Pese a que ha vivido momentos muy difíciles don Javier siempre ha salido adelante, pues siempre ha encontrado las fuerzas que necesita en su familia y compañeros, quienes lo cuidan y motivan para que nunca se rinda.



