En abril del 2024, Ginnés Rodríguez reveló el terrible mal que sufría y por el que la tienen que operar.
Año y medio después, la presentadora de Repretel aún no entra al quirófano, pero sí volvió a hablar del asunto a través de sus redes.
LEA MÁS: Ginnés Rodríguez padece un terrible mal y la tienen que operar
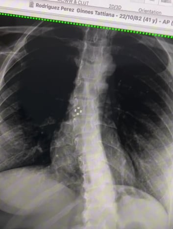
Rodríguez padece escoliosis, que es una curvatura anormal de la espina dorsal y que en su tipo más grave, puede generar trastornos serios como la parálisis cerebral o distrofia muscular, según el sitio MedlinePlus.
En las últimas horas, la presentadora de Las Historias, de Repretel, habló sobre cómo afronta su mal, cuya manifestación es perceptible físicamente.
Rodríguez aceptó que en sus tiempos de joven sufrió de muchos complejos por eso, pero ya de adulta abrazó la situación y le buscó el lado amable.
“Si hay algo de lo que yo me siento muy orgullosa y me eleva la autoestima son mis curvas, pero no son las curvas tradicionales de las que todos hablan, sino de la que tengo en mi espalda, porque yo tengo escoliosis.
“Es una curva en mi columna que sobre todo me enseñó que la vida no se vive en línea recta, pero en la adolescencia sumado a otros complejos, yo, literalmente, creía que venía defectuosa. Pero ahora entiendo que esa curva me ha enseñado a ver la vida desde otro ángulo: con más empatía”, afirmó Rodríguez en Instagram.
LEA MÁS: Ginnés Rodríguez reveló cómo lucha contra la dolorosa enfermedad que padece
La periodista también mencionó cómo su problema le ha ayudado a mantener los pies sobre la tierra dentro del mundo en el que se desenvuelve, donde los egos y las apariencias están a la orden del día.
“Sobre todo me enseñó que en un trabajo donde hay mucha apariencia y muchos reflectores, me hace recordar que estoy más inclinada hacia el suelo que hacia las nubes. Las curvas no son errores, son parte de un camino más consciente que nos recuerda que no se trata de perfección sino de ver la belleza en lo que es real”, afirmó.


